New Client Special
$50 OFF
a microneedling treatment
Please call 541-275-2904 or fill out the form below:
By submitting this form, I consent to be contacted by Admire Aesthetics Medford, OR via phone, text, email, or mail. Message and data rates may apply. Consent is not a condition of purchase. I acknowledge the Privacy Policy. Reply STOP to opt out.
SkinPen Microneedling at Admire Aesthetics
Firm, Smooth, and Rejuvenate Your Skin in Grants Pass and Medford, OR
Microneedling can significantly enhance your skin’s texture and tone in numerous ways. This treatment utilizes sterile, ultra-fine needles to stimulate the production of collagen and elastin. The results? Smoother skin, brighter tone, and reduced fine lines and wrinkles. While it may sound too good to be true, all of this can be done without surgery, thanks to microneedling.
If you’re ready to see if you’re a candidate, let us know. As the leading provider of microneedling with the SkinPen device in Grants Pass and Medford, Oregon, Admire Aesthetics is here to help with your skin rejuvenation. Call 541-275-2904 today to schedule a free consultation and get $50 off your first treatment.
What Is Microneedling?
Microneedling is a minimally invasive procedure that rejuvenates the skin using a device containing ultra-fine needles. During treatment, a trained provider uses this device to create tiny punctures in the skin that are invisible to the naked eye. This process triggers the body’s natural healing response, stimulating the production of collagen and elastin.
Over time, the production of these proteins in our skin declines, leading to signs of aging. As microneedling increases these proteins in your skin, it makes your skin smoother, firmer, and more revitalized. Many of our clients appreciate this treatment because it enhances their skin’s texture and tone without the need for surgery.
Microneedling Benefits
-
Reduces fine lines and wrinkles
-
Smooths the skin
-
Fades acne scars
-
Brightens a dull complexion
-
Tightens and firms loose skin
-
Decreases size of enlarged pores
-
Enhances skin tone
-
Fades hyperpigmentation
-
Safe for many skin types
-
Minimizes the appearance of stretch marks
-
Creates a youthful glow
-
Improves product absorption to enhance skincare
-
Minimally invasive, non-surgical treatment
-
Convenient 30-60 minute sessions
-
Little to no downtime
How Does Microneedling Work?
Using the special SkinPen device with sterile needles, a qualified provider creates controlled microinjuries in the skin. This process activates your skin’s natural healing response, producing collagen and elastin to repair these tiny wounds. As a result, this buildup of proteins smooths the skin, reducing the appearance of fine lines and wrinkles. It also helps fade discoloration and scars, enhancing skin tone.
The microchannels created during microneedling also facilitate better product absorption, allowing your skincare products to penetrate more deeply into your skin. Gentle products, such as a hydrating serum, can help moisturize your skin more effectively after your treatment. This enhanced absorption can help you experience greater skincare results.
Why Choose the SkinPen Device for Microneedling?
SkinPen is a professional-grade, FDA-cleared microneedling device, designed to activate the body’s natural collagen and elastin production. It’s engineered for safety, precision, and effectiveness across for all skin tones, addressing various skin concerns, from acne scars to neck wrinkles.
Microneedling Treatment Areas
Microneedling can help enhance the appearance of your skin on multiple parts of the body. Common treatment areas include:
-
Face
-
Neck
-
Chest
-
Abdomen
-
Thighs
-
Buttocks
-
Arms
-
Back
Microneedling Results*
Treatment Plan
Most patients benefit from 3–6 sessions, spaced a few weeks apart. Your provider will customize the plan based on your goals and skin concerns.
When Results Appear
Many people notice smoother, brighter skin within just a few weeks. Since collagen and elastin take time to rebuild, your best results typically show up 3–6 months after treatment.
What to Expect
Final improvements may include reduced signs of aging, a more even skin tone, and firmer, healthier-looking skin. Results usually last 3–6 months, and in some cases up to a year or longer.
Maintenance
Following aftercare instructions is key to getting the most from your treatments. To keep your skin looking refreshed, maintenance sessions every 6–12 months are often recommended.
What to Expect During Microneedling
Before your microneedling session begins, we will prepare your skin for treatment. During this process, your skin is gently cleansed, and a numbing agent is applied to minimize discomfort. Our microneedling experts will then use the SkinPen device to create controlled microinjuries in your skin. This process stimulates your skin’s healing response, allowing it to produce more collagen and elastin.
During treatment, you may feel scratching or pricking sensations as the device creates micro-punctures. However, the anesthetic helps reduce this sensation, so this procedure is generally well-tolerated.
After your microneedling session, it’s common to experience some redness, swelling, and tenderness. These side effects usually resolve within a few days. Our experts will give you helpful aftercare instructions to follow, which can help you heal as quickly as possible.
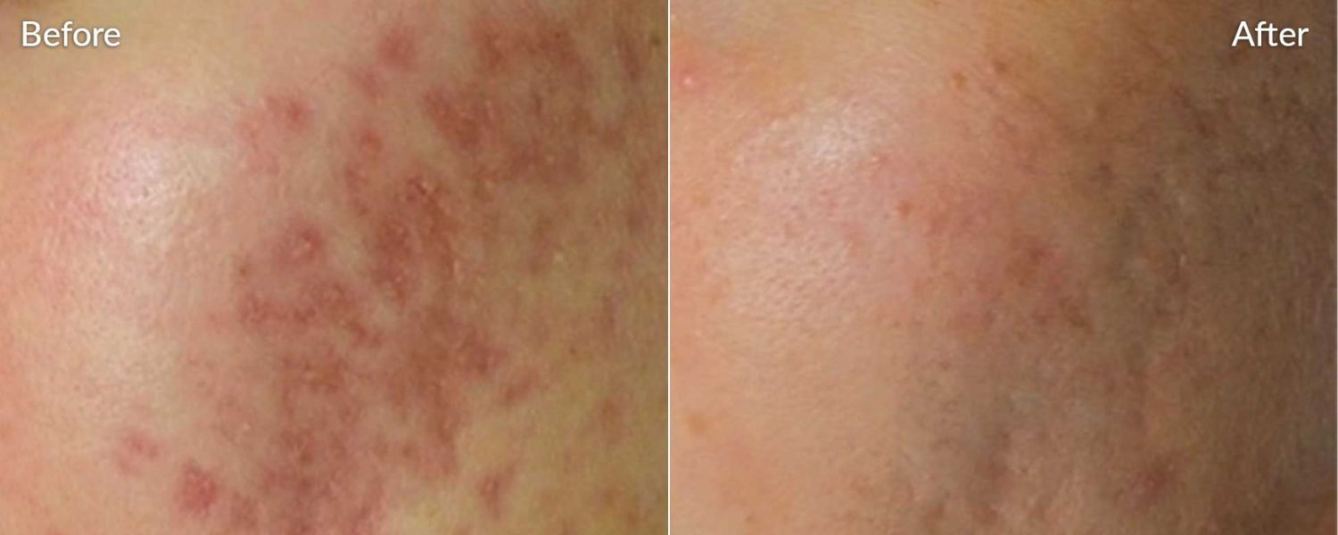
Microneedling Before and After*
Every client experiences different results from microneedling. At Admire Aesthetics, many of our clients have noticed smoother, younger-looking skin after treatment. The photos below show the incredible results they have witnessed.
Why Choose Admire Aesthetics
At Admire Aesthetics, we’re here to help you feel more confident and empowered in your own skin. With over 26 years of combined experience, our team knows how to tailor our cutting-edge treatments to meet your cosmetic goals. We’ll provide you with the support you need in a comfortable environment. Let us know the results you want to achieve, and we’ll work with you to develop a safe and effective non-surgical treatment.
Find Microneedling Near You In Grants Pass and Medford, OR
If you’re ready to feel more confident with rejuvenated skin, our team can help determine if microneedling with the SkinPen is a good fit for you. Whether you want to fade fine lines and wrinkles, acne scars, or hyperpigmentation, we have an option suitable for you. With minimal downtime, you can go about your day after treatment and see radiant effects before you know it.
Admire Aesthetics is proud to be the leading provider of microneedling in Grants Pass and Medford, Oregon, offering the SkinPen device. Call 541-275-2904 today to schedule a complimentary consultation with our team. We’ll be happy to help you look and feel revitalized in your skin. Ask about our new client special, where you can save $50 off your first microneedling treatment.
Microneedling FAQs
Does Microneedling Hurt?
Before microneedling, our providers apply a topical numbing agent to minimize discomfort. Some of our clients feel light pricking sensations, but most people can tolerate treatment well.
Do I Need More Than One Treatment?
While you may see some improvements after one treatment, a series of 3-6 sessions is usually recommended. When you schedule a consultation, you’ll meet with an experienced provider who can guide you through this process. You’ll find out if you’re a good candidate for microneedling and how many treatments can help you achieve your desired results.
What Are The Side Effects?
It’s common to experience mild swelling, redness, and tenderness after microneedling. However, these side effects typically resolve within a few days. Following your provider’s aftercare instructions can help minimize these effects, allowing you to heal faster. Additionally, consulting an experienced provider for your microneedling ensures that your treatment will be as safe as possible.
Am I A Good Candidate For SkinPen Microneedling?
You may be a good candidate for microneedling with the SkinPen if you’re healthy and have a skin condition you would like to improve. This treatment can reduce acne scars, fade signs of aging, firm the skin, and create a more even skin tone. To determine if microneedling is a safe and effective option for you, schedule a consultation at Admire Aesthetics.
How Can I Optimize My Results From Microneedling?
You can enjoy the results of microneedling as long as possible by following your provider’s aftercare instructions. These instructions include helpful tips, such as avoiding sun exposure while your skin heals and using gentle skincare products. You can also schedule maintenance treatments to extend the duration of your results.
New Client Special
$50 Off
A Microneedling Treatment
Please call 541-275-2904 or fill out the form below:
By submitting this form, I consent to be contacted by Admire Aesthetics Medford, OR via phone, text, email, or mail. Message and data rates may apply. Consent is not a condition of purchase. I acknowledge the Privacy Policy. Reply STOP to opt out.
New Client Special
$50 OFF
A Microneedling Treatment
Please call 541-275-2904
or fill out the form below:
By submitting this form, I consent to be contacted by Admire Aesthetics Medford, OR via phone, text, email, or mail. Message and data rates may apply. Consent is not a condition of purchase. I acknowledge the Privacy Policy. Reply STOP to opt out.
DISCLAIMER:
*Results may vary. We are reputable for complete customer satisfaction for completed treatments. Before and after images reflect real results from real patients, although individual results may vary. No treatment is promised to provide permanent results. A guarantee is neither provided nor implied. Statements estimating treatment duration and the number of treatments required are based on the typical experience of our patients, however, individual experiences may vary.
*You agree to be contacted by Admire Aesthetics by submitting this form, regarding marketing messages by text, phone, or email. We commit to respecting and protecting your private information. At any time you, are able to unsubscribe from these messages. For more information regarding our Privacy Policy, please review here.
*$50 off a microneedling treatment as a new client. Cannot be combined with other offers. Contact Admire Aesthetics for full offer terms.
Beauty Bank Membership: Elevate Your Aesthetic Journey at Admire
At Admire Aesthetics, our exclusive Beauty Bank Membership is designed to enhance your wellness and radiance.
The Beauty Bank is a monthly membership program that empowers you to save money while accessing premium aesthetic treatments. As a member, your monthly contribution goes directly into your own “Beauty Bank” account, which can be applied toward any body sculpting or skin rejuvenation service. It’s like a personal savings plan for your beauty goals.
Choose between two tailored tiers: The Insider and Elite. Each offers unique benefits to support your beauty and wellness goals.
Membership Tiers & Benefits
$99
Per Month
The Insider
- 10% off all procedures and skincare products
- 10% off nutritional supplements
- A complementary visit to the Vitality Zone at Admire Retreat
- A special birthday gift during your birthday month
- A complementary annual body analysis
$199
Per Month
Elite Membership
at Admire
- 25% off all procedures and skincare products
- 20% off nutritional supplements
- A complementary visit to the Vitality Zone at Admire Retreat
- A special birthday gift during your birthday month
- A complementary annual body analysis
- Waived wellness weight loss exam



